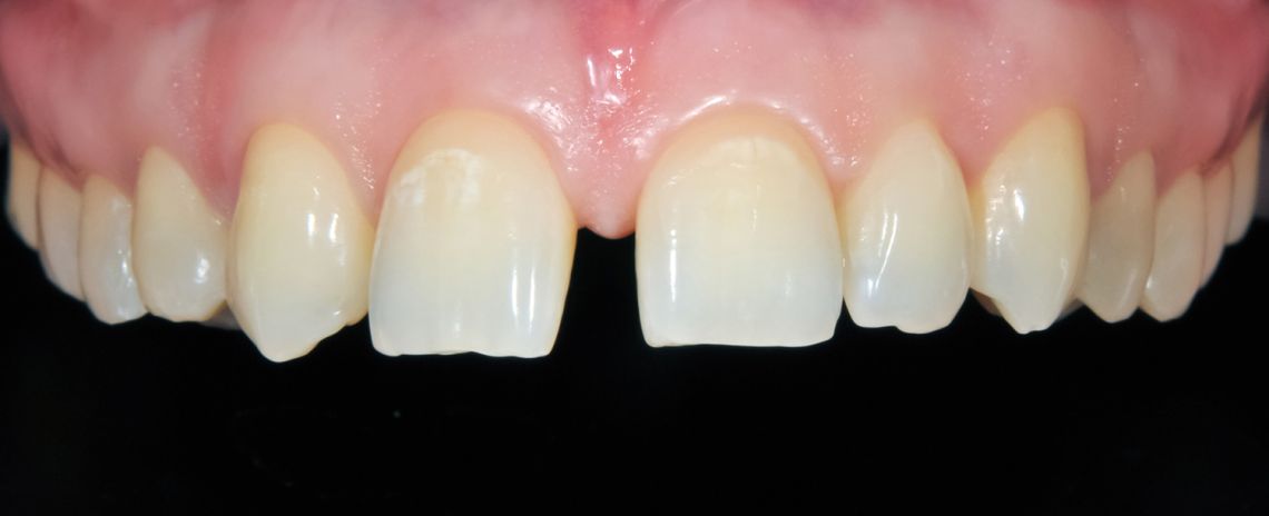
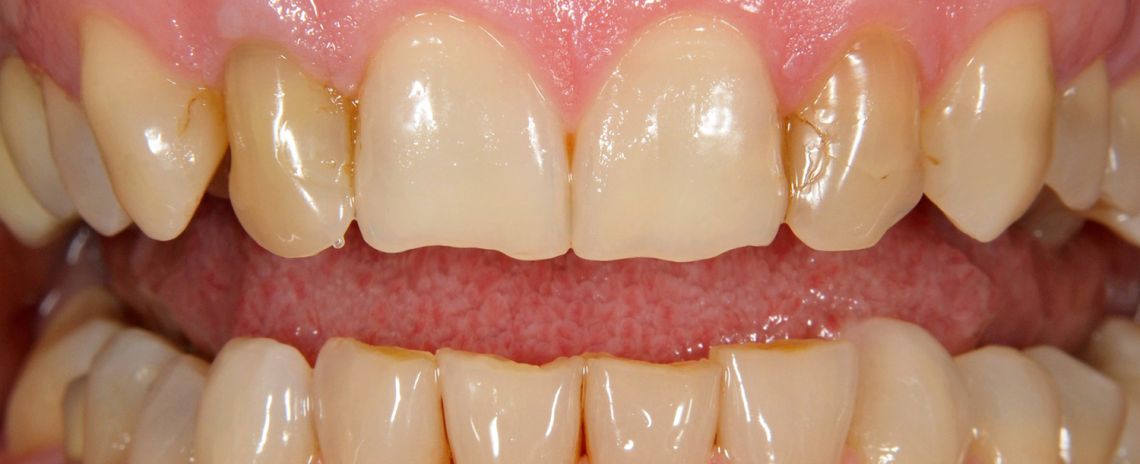
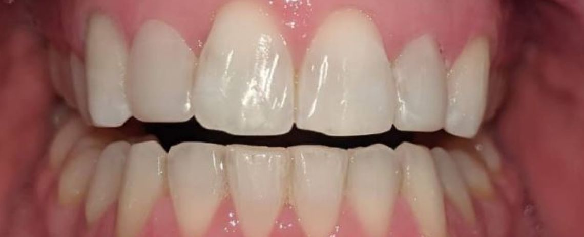
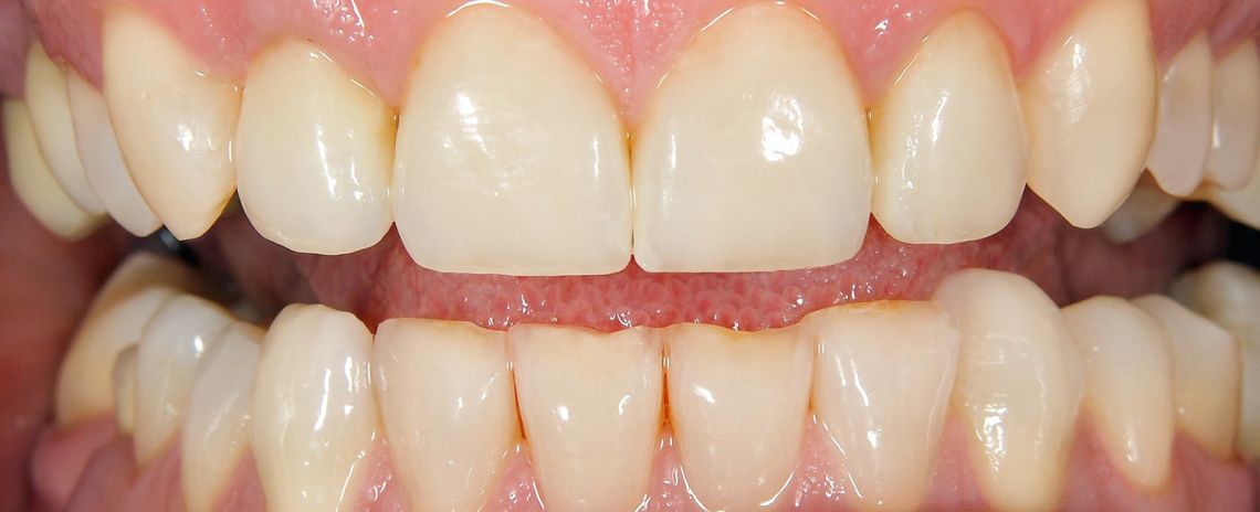
Repair, renew, transform

Give nature a helping hand with our smile makeovers at Envisage Dental Ferndown. We offer a comprehensive range of treatments to help you achieve that winning smile.

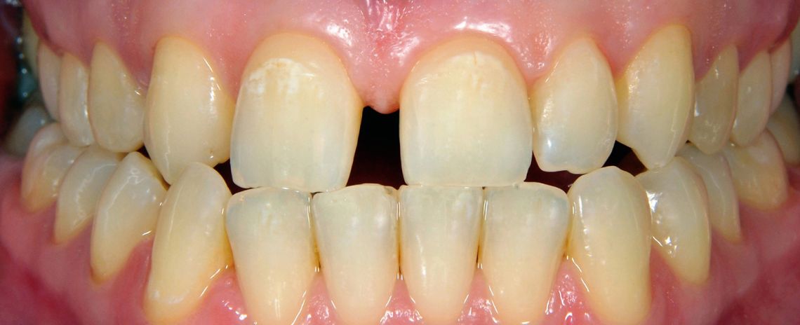
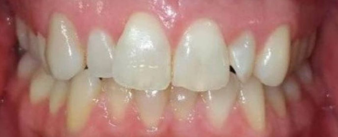
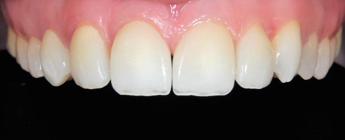
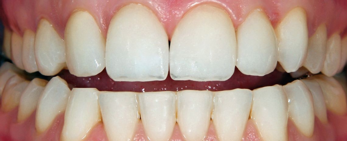
A Smile Makeover is a combination of both the skill of the dentist and advanced cosmetic dental treatments in order to create your best possible smile. Whatever your reasons for wanting a smile makeover, there are many different ways in which we can help with:

  • Whitening stained teeth
  • Straighten crooked teeth
  • Repair, replace and improve the appearance of chipped or broken teeth
  • Replace missing teeth
  • Improve a "gummy" smile

The result of a Smile Makeover should be a smile to be proud of; straighter, whiter and better aligned.

Meet the team

Dr. Tom Rowland

Dentist

GDC NO. 279282

Sarah Mussell

Dentist

GDC NO. 251312

Previous
Next
Patient Reviews

See why so many patients recommend Envisage Dental Ferndown

Our reputation is built on care and trust. We're proud to care for generations of patients who continue to recommend us.

Leave a Google Review

Patient reviews

1595 Reviews

5.0
KL

Karen Lindsay

Have had several visits here in the past few weeks and can highly recommend the team there. The receptionists are welcoming and the treatment I received from both Hugo and Mel was first class. I was made to feel at ease and every part of the treatment was explained, they listened to my concerns and questions and showed me photos at the end to illustrate what had been done. Would particularly recommend to anyone who is nervous or anxious as they are so friendly and take the time to look after you throughout the whole visit.

15th May 2026

A very caring and experienced team.

14th May 2026

No long wait, very friendly, and very efficient.

14th May 2026

Good communucation from reception team re scheduling of meeting and clear advice from dentist on options and next steps

14th May 2026

Staff are helpful and friendly

TG

Tim Gough

I’ve had an outstanding experience with Envisage Dentistry in Ferndown, under the care of Dr Tom Rowland and his brilliant Nurse Tayla. What began as a desire to improve my smile turned into an 18-month journey that exceeded all expectations. From the initial consultation through to the final results, every step was handled with professionalism, precision, and genuine care. I went through braces to straighten my teeth, followed by whitening, composite bonding, and ultimately a full set of crowns on my top row, and the transformation has been incredible. Tom was fantastic throughout the entire process. He took the time to explain each stage clearly, made sure I was comfortable with every decision, and delivered results that look completely natural while still being a huge improvement. The whole team at Envisage were welcoming and supportive, which made what could have been a daunting process feel smooth and reassuring. I couldn’t be happier with my new smile and would highly recommend them to anyone considering cosmetic dental work.

TG

Teyo Garcia

I had a routine check-up with Tom and hygiene appointment with Olga today at the Envisage Clinic in Ferndown, Dorset; and I couldn’t be more pleased with the service. From the moment I walked in, the reception staff were friendly and efficient, making the check-in process quick and stress-free. Tom was extremely professional, thorough, and took the time to explain everything clearly, including what they were looking for during the exam and any areas I should keep an eye on. I really appreciated how they made sure I was comfortable throughout and answered all my questions without rushing. The hygienist, Olga, did a fantastic job with the GBT Airflow treatment, very gentle but thorough, and they gave helpful advice on improving my brushing technique. The clinic itself is always very clean, modern, and well-organized, which also added to the overall positive experience. Overall, I felt well cared for and informed about my dental health. I would most definitely recommend this practice to anyone looking for a reliable and professional dentist.

12th May 2026

Hugo is very professional, helpful, and so caring.

12th May 2026

I had a routine check-up with Tom and a hygiene appointment with Olga today, and I couldn’t be more pleased with the service. From the moment I walked in, the reception staff were friendly and efficient, making the check-in process quick and stress-free.Either Tom and Olag were professional, thorough, and took the time to explain everything clearly.Olga, the hygienist did a fantastic job, very gentle but thorough, and they gave helpful advice on improving my brushing technique. It was my first time having the GBT Airflow treatment and I felt extremely satisfied with the results.Overall, I felt well cared for and informed about my dental health. I definitely recommend this practice to anyone looking for a reliable and professional dentist. On the day of my appointment by chance a colleague from work who I recommended Envisage was also having an appointment with Tom.

RC

Rachel Cooke

Tom and Tayla were very kind and professional. Always put you at ease and always a good job done. Thank you

10th May 2026

Excellent explanation of treatment before commencing. At various stages of the procedure Hugo asked if I was ok before continuing onto the next stage.

AB

Alistair Bates

Excellent work by Tom, surely the best dentist in the area!

CA

Charlotte Ansbro

WOW!!!! Just came back from visiting Envisage dental and couldn’t be more pleased with the treatment. Ive always been nervous for the densitst and needed quite a bit of work doing (new crown, some injections etc) but Hugo made me feel at ease from start to finish. He explained each stage in detail… the checkup was super thorough and the crown is the exact colour I asked for. Nurse Kim also did a stellar job at fitting the crown for the final appointment and I was in and out within no time. THANKYOU team envisage… for the first time ever I can say it was an absolute getting to come and see the dentist and getting looked after by you guys! !!

30th April 2026

I am a patient of Dr Hugo Rowlands, he is very kind and caring, personable, friendly and always explains things in detail. I really trust him and feel very happy with the treatment I get. I couldn't be happier. Thank you

NM

Natalie Morgan

I first visited the practice in February wanting to improve my smile. That's exactly what I got!!! I saw Tom who was absolutely brilliant! He explained everything clearly and gave me plenty of options. I needed some work done before I could achieve what I wanted.. everyone at the practice is friendly and professional. Tom did an amazing job and I couldn't be happier

29th April 2026

All staff are very welcoming and efficient .

29th April 2026

All of it

28th April 2026

friendly efficient staff and good communication and treatment

28th April 2026

Claire is the perfect hygienist - very caring and gentle. I hadn’t seen Hugo before. He was very good, put me at ease and was very informative.

26th April 2026

Extremely friendly and professional. Tom Rowland and Taylor, his nurse are welcoming & friendly.

Prev Previous
Next Next